文字方塊: 病患A說明
[動靜脈畸形] 以加馬刀治療成效良好
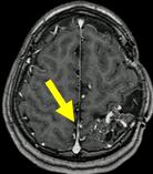
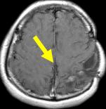
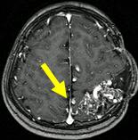
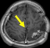
病患A小弟, 在3歲時突然產生腦中風出血, 造成右側肢體無力, 經診斷為腦動靜脈畸形,在14歲時, 於本院接受加馬刀放射手術治療, 經4年後, 血管瘤消失, 成效良好, 目前A小弟已高中, 每天可騎腳踏車上
文字方塊: 每年磁共振造影追蹤動靜脈畸形可見逐年消失
文字方塊: 2007.02.26
文字方塊: 2006.02.21
文字方塊: 2005.02.23
文字方塊: 加馬刀治療
2004.07.26
文字方塊: 病患A 14歲 男性 
診斷:動靜脈畸形